Η περιοδοντίτιδα είναι μια σοβαρή φλεγμονή των ούλων που καταστρέφει τους μαλακούς ιστούς και τα οστά του δοντιού που υποστηρίζουν τα δόντια. Η νόσος μπορεί να κάνει τα δόντια να κουνιούνται ή ακόμη και να πέσουν.
Είναι μια εν τω βάθει φλεγμονή που φτάνει μέχρι το οστό και πλέον δεν ελέγχεται με απλές συμβουλές στοματικής υγιεινής. Είναι απόρροια φτωχής στοματικής υγιεινής και προλαμβάνεται κατά τον ίδιο τρόπο που προλαμβάνεται και η ουλίτιδα.
Το στόμα είναι το σημείο από το οποίο εισέρχονται διάφορες ουσίες στο σώμα και, επομένως, το σημείο στο οποίο μπορεί να εμφανιστούν οι πρώτες ενδείξεις για την παρουσία σοβαρών προβλημάτων υγείας σε άλλες περιοχές του σώματος.
Παρόλο που η περιοδοντική νόσος εντάσσεται στην ίδια κατηγορία με την ουλίτιδα, στην ουσία είναι μια πιο προχωρημένη μορφή της. Η ουλίτιδα ξεκινάει ως φλεγμονή των ούλων. Αν δεν θεραπευτεί, τότε μπορεί να εξελιχθεί σε περιοδοντίτιδα.

Ποια είναι τα συμπτώματα της Περιοδοντίτιδας;
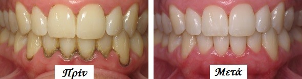
Η κλινική εικόνα της περιοδοντικής νόσου περιλαμβάνει κάποια σημάδια και συμπτώματα, τα βασικότερα από αυτά είναι :
- Ύπαρξη περιοδοντικών θυλάκων
- Παρουσία αυξημένης κινητικότητας των δοντιών
- Μετακίνηση των δοντιών από την αρχική τους θέση
- Απώλεια φατνιακού οστού
- Απώλεια πρόσφυσης των ούλων
- Αιμορραγία
- Περιοδοντικά αποστήματα
- Κακοσμία του στόματος
Θεραπεύεται η περιοδοντίτιδα;
Δυστυχώς η περιοδοντίτιδα είναι μια ασθένεια η οποία δεν ιάεται απλά αναχαιτίζεται . Με τη θεραπεία της περιοδοντίτιδας αυτό που πετυχαίνουμε είναι να σταθεροποιήσουμε την εξέλιξη της νόσου και από ενεργή να την μετατρέψουμε σε ανενεργή. Δυστυχώς, «μια φορά περιοδοντίτιδα σημαίνει πάντα περιοδοντίτιδα» το γεγονός όμως ότι με διαφορά μέσα μπορούμε να την κρατάμε στάσιμη, παρ’ όλες τις εξάρσεις που θα παρουσιαστούν κατά τη διάρκεια των ετών, είναι ιδιαίτερα αισιόδοξο .Συμπερασματικά θα μπορούσαμε να υπογραμμίσουμε την αναγκαιότητα των τακτών επισκέψεων στον οδοντίατρό μας μετά το πέρας της περιοδοντικής θεραπείας για την καλύτερη και πιο μακροχρόνια διατήρηση του θεραπευτικού αποτελέσματος.

Στους περισσότερους ασθενείς η περιοδοντική νόσος έχει αργή εξέλιξη. Ένας ασθενής με χρόνια ουλίτιδα σίγουρα έχει αρκετές πιθανότητες να μετακυλήσει σε ασθενή με περιοδοντική νόσο. Ασθενής με γενικά νοσήματα ή ασθενείς που στην οικογένειά τους έχει υπάρξει βαρύ κρούσμα περιοδοντικής νόσου σίγουρα είναι στην ομάδα υψηλής επικινδυνότητας. Η περιοδοντική νόσος είναι εύκολα ανιχνεύσιμη από τον οδοντίατρο μετά από μια προσεκτική και ενδελεχή κλινική εξέταση.
Διαβάστε ακόμη: